Extrema atrofia ósea combinada en altura y anchura con implantes fracasados en maxilar superior y distribución biomecánica inadecuada en la mandíbula. Cambio de enfoque paso a paso
Corresponding author: Dr. Eduardo Anitua. Eduardo Anitua Foundation.
Telf: +34 945 160 653, e-mail: eduardo@fundacioneduardoanitua.org.
- Eduardo Anitua. DDS, MD, PhD
- Private practice in oral implantology, Eduardo Anitua Institute, Vitoria, Spain. Clinical researcher, Eduardo Anitua Foundation, Vitoria, Spain. University Institute for Regenerative Medicine and Oral Implantology - UIRMI (UPV/EHU-Fundación Eduardo Anitua), Vitoria, Spain.
RESUMEN
La rehabilitación con implantes dentales es una rutina cada vez más frecuente en la clínica dental. En ocasiones, nos encontramos con pacientes cuyos implantes fracasan, demandando un nuevo tratamiento implantológico. Por lo general, cuando se producen fracasos de implantes por periimplantitis, se generan defectos óseos asociados que hacen difícil el retratamiento sin recurrir a técnicas regenerativas en primera instancia. Gracias a los implantes extra-cortos y de diámetros reducidos, en ocasiones podemos llevar a cabo retratamientos en pacientes con pérdidas óseas elevadas. Los protocolos de explantación atraumática y el conocimiento y empleo de nuevos implantes así como los protocolos de carga y de biomecánica deben ser las herramientas a implementar para estos casos más complejos.
Palabras clave: periimplantitis, atrofia ósea, biomecánica.
ABSTRACT
Rehabilitation with dental implants is an increasingly frequent routine in the dental clinic. Occasionally, we encounter patients whose implants fail, requiring a new implant treatment. Generally, when implants fail due to peri-implantitis, associated bone defects are generated that make retreatment difficult without resorting to regenerative techniques in the first instance. Thanks to extra-short implants with reduced diameters, we can sometimes carry out retreatment in patients with high bone loss. The atraumatic explantation protocols and the knowledge and use of new implants as well as loading and biomechanical protocols should be the tools to be implemented for these more complex cases.
Key words: periimplantitis, bone atrophy, biomechanics.
----
INTRODUCCIÓN
La implantología actual se encuentra completamente consolidada dentro de la odontología siendo una de las disciplinas con mayor implementación dentro de la consulta1-3. Los diferentes diseños de implantes adaptados a todas las situaciones clínicas incluidas las atrofias más severas han posibilitado que muchos pacientes puedan beneficiarse de estos tratamientos4 . Hoy en día, nos encontramos con problemas asociados, como la periimplantitis, fractura de los implantes o problemas en las rehabilitaciones iniciales que nos hacen plantearnos volver a comenzar y tener que retirar implantes por diversos motivos para posteriormente poder colocar nuevos5-7. La unión de pacientes con atrofias cada vez más severas con un volumen óseo más reducido que demandan tratamiento implantológico junto con casos donde hay que realizar la sustitución de los implantes fallidos y ya existía un volumen óseo reducido o se ha reducido por el fracaso de los implantes complica aún más la consecución de un tratamiento de implantes con éxito8-10. Dentro de las técnicas para la retirada de los implantes dentales, existen diferentes procedimientos, siendo los basados en el contra-torque los que han demostrado ser más sencillos, fiables y conservadores con el lecho óseo, clave para posteriormente volver a rehabilitar la zona con nuevos implantes dentales8 . Cuanto mayor sea la conservación del lecho óseo, más sencilla será la nueva rehabilitación con implantes dentales, por ello, el tratamiento de la peri-implantitis antes de que se produzcan pérdidas óseas críticas y lograr una técnica lo más conservadora de recambio de los implantes con el volumen óseo residual, más predecible será nuestro re-tratamiento6-7. Cuando un implante llega a padecer peri-implantitis, existen diferentes alternativas de tratamiento para el mismo, clasificándose estas alternativas clásicamente en métodos quirúrgicos (los que emplean algún tipo de cirugía para acceder al implante e intentar regenerar la pérdida ósea) y métodos no quirúrgicos (aquellos que intentan detoxificar la superficie expuesta al medio oral para lograr la nueva inserción de los tejidos peri-implantarios)14-16. Los tratamientos conservadores han sido empleados durante mucho tiempo para afrontar la periimplantitis presentando el gran inconveniente de que detoxificar la superficie periimplantaria por completo es muy complicado y lograr que el implante tratado vuelva a oseointegrarse altamente complejo8,11,17-18. Llegados a un punto de pérdida ósea de tipo crateriforme o con infecciones recurrentes, la explantación del implante es el tratamiento de elección para evitar que la progresión de la enfermedad nos deje un volumen óseo insuficiente para una nueva rehabilitación8 . La extracción de implantes de forma atraumática, llevada a cabo por nuestro kit de explantación (KEXIM- biotechnology institute)® diseñado por nuestro grupo de estudio8 nos garantiza la retirada de los implantes afectados por peri-implantitis altamente colonizados por bacterias donde su recuperación es altamente impredecible al mismo tiempo que nos permite también la retirada de aquellos implantes insertados en posiciones erróneas para su rehabilitación, hecho que en ocasiones limita el éxito estético y funcional de nuestras rehabilitaciones protésicas8,16-18. En el presente caso clínico mostramos la resolución de una situación donde encontramos implantes fracasados en el arco superior por periimplantitis que deben ser extraídos y realizada una nueva rehabilitación. En la mandíbula por el contrario, se han colocado implantes con una incorrecta distribución biomecánica, que podemos considerar mal posicionados, que también deben ser rehabilitados de nuevo con posiciones en el lugar más favorable. En ambas situaciones (maxilar y mandíbula) debido a la atrofia ósea existente, se utilizan además como opción terapéutica implantes cortos para trabajar el caso de forma mínimamente invasiva.

CASO CLÍNICO
Presentamos el caso de una paciente femenina de 69 años de edad, que acude a la consulta presentando una prótesis fija atornillada sobre 4 implantes de resina, con faldón vestibular que dificulta enormemente la higiene y una prótesis superior removible sobre implantes, en donde varios implantes han fracasado y actualmente se comporta como una prótesis removible convencional (figuras 1 y 2). Al retirar la prótesis superior podemos observar una barra de sobredentadura en el primer cuadrante que presenta movilidad, inflamación alrededor de los implantes y supuración, con signos clínicos claros por tanto de periimplantitis y en el segundo cuadrante los restos de una segunda barra que existió pero en la que uno de los implantes (el más distal) fracasó y el más mesial presenta también signos claros de periimplantitis (figuras 3 y 4). Tras retirar la prótesis inferior, podemos ver también los signos evidentes del filtrado de bacterias en la interfase prótesis-implante, debido a las angulaciones innecesarias de los implantes (que dificultan el ajuste pasivo de la estructura) y al trabajo sin elementos intermedios (transepiteliales) atornillándose directamente la prótesis sobre los implantes (figura 5). En la radiografía panorámica inicial se puede constatar además la pérdida ósea de los implantes superiores y la posición de los implantes inferiores, con los dos más distales a 45º que generan un voladizo distal en la prótesis inferior de grandes dimensiones, además de un desajuste protésico evidente en la radiografía en los dos implantes distales, probablemente por distorsión en la fase de confección de la prótesis al haberse realizado directa a implante (figura 6). Procedemos a la realización de un cone-beam donde analizamos los cortes los cortes de la mandíbula en la zona más distal al último implante colocado en posición de 45º, para objetivar si es posible la colocación de implantes cortos en esa área evitándose de este modo el voladizo y el brazo de palanca que este puede generar en la masticación, lográndose una distribución más favorable desde el punto de vista biomecánico. Vemos como tanto en el tercer como en el cuarto cuadrante se pueden insertar implantes de 6,5- 7,5 mm de longitud sin problemas, por lo que se planifican dos implantes distales a los ya colocados (figuras 7 y 8).

En la planificación superior, observamos una atrofia extrema en la zona de la premaxila, que nos hace planificar dos implantes extra-cortos de 5,5 y 6,5 mm unidos al procedimiento de elevación de fosa nasal atraumático. Este procedimiento ha sido descrito por nuestro grupo de estudio20 y se lleva a cabo mediante una fresa de corte frontal de igual forma que la elevación de seno transcrestal (figuras 9 y 10).

En el primer cuadrante, se van a realizar las explantaciones atraumáticas de los dos implantes remanentes y en el mismo procedimiento quirúrgico se colocará un implante en la zona correspondiente a la pieza 16 y otro en el lecho post-explantación del implante más mesial, ambos cortos, al igual que los que se planifican en el segundo cuadrante por detrás del implante remanente afectado por periimplantitis que será extraído en la misma cirugía (figuras 11 y 12). Rehabilitando de nuevo el maxilar superior con implantes cortos empleándose la técnica de elevación transcrestal en las zonas posteriores y de elevación de fosa nasal en la anterior se logra un abordaje mínimamente invasivo del caso, con una resolución sencilla en una única fase quirúrgica. En la cirugía se realizan todas las explantaciones (incluida una en la mandíbula en posición 45 por presentar pérdida ósea crateriforme) además de la colocación de los nuevos implantes superiores e inferiores. En la mandíbula podemos además llevar a cabo una prótesis de carga progresiva uniendo tres de los implantes antiguos a los dos nuevos, pero con la colocación de transepiteliales (figura 13).

Cinco meses después, ya podemos realizar la carga de los implantes superiores. Tras la segunda fase quirúrgica, se colocan los transepiteliales para la confección de una prótesis atornillada provisional de carga progresiva, tal como se hizo en la mandíbula. Esta prótesis se confecciona mediante barras articuladas pocas horas después de la toma de medidas (figuras 14-16).
Ambas prótesis se mantienen durante cuatro meses para lograr adaptar la nueva dimensión vertical y la nueva articulación en la paciente. Una vez lograda su función, se realiza un duplicado de los provisionales adaptados como encerado para la prótesis definitiva. En el momento de la toma de medidas de la prótesis definitiva, podemos observar el estado de los tejidos peri-implantarios, que comparados con el estado inicial, han sufrido una notable mejoría, además de un engrosamiento de la encía insertada, fruto de la eliminación de la inflamación persistente y la cirugía con sobre-corrección realizada (figuras 17-20).

Tras las pruebas, se transforman ambos encerados en las prótesis definitivas, que serán híbridas de resina, debido al amplio espacio interoclusal a rehabilitar. Se llevan a cabo mediante estructuras metálicas fresadas por cad-cam y sobre ellas se construye posteriormente toda la resina. Tanto la rehabilitación superior como la inferior son atornilladas a través de transepiteliales (figuras 21-26). En la radiografía panorámica final vemos además como ahora los implantes inferiores tienen una distribución biomecánica más adecuada evitándose en gran medida los momentos flexores de los voladizos distales durante la masticación, aunque uno de los implantes iniciales se ha conservado al no presentar patología periimplantaria y por deseo expreso de la paciente (figura 27).

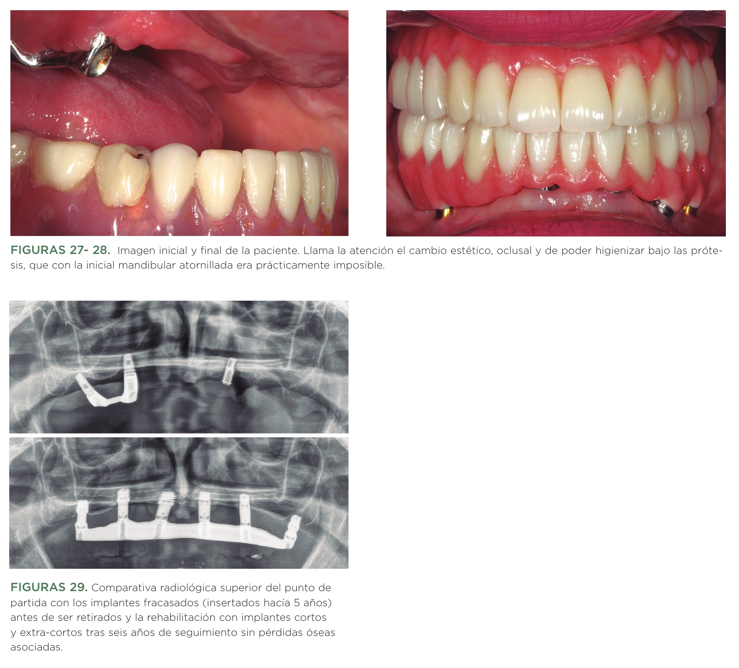
Se ha mejorado por lo tanto la higiene y la carga que reciben los implantes en el arco inferior además de la estética y la función en ambos maxilares (figuras 27- 28), como vemos en las imágenes comparativas de antes y después. La paciente continúa en seguimiento y seis años después la rehabilitación se mantiene sin incidencias ni pérdidas óseas asociadas, muy notable como resaltamos en la comparativa de la rehabilitación del maxilar superior con extrema atrofia vertical (figura 29).
DISCUSIÓN
Las atrofias mandibulares y maxilares severas, son una consulta habitual hoy en día en la clínica dental, por lo que el profesional debe estar familiarizado con diferentes técnicas, sobre todo las que implican menor número de cirugías y disminuyen la morbilidad del paciente, ya que estos procedimientos son mejor aceptados21-27. Al margen de los pacientes que acuden con atrofias de larga evolución, el problema emergente de la periimplantitis es un reto al que nos enfrentamos con mayor frecuencia en las consultas dentales día a día, así como los fracasos protésicos y estéticos derivados de implantes mal posicionados. Es por ello de vital importancia disponer también de formas para poder retirar estos implantes de forma atraumática y predecible. Dentro de las técnicas para la retirada de los implantes dentales, existen diferentes procedimientos, siendo los basados en el contra-torque los que han demostrado ser más sencillos, fiables y conservadores con el lecho óseo, clave para posteriormente volver a rehabilitar la zona con nuevos implantes dentales19. Los implantes de nueva inserción, pueden ser colocados en el mismo lecho donde se explantan los antiguos, dado que en trabajos al respecto publicados por nuestro grupo de estudio no se ha encontrado mayor índice de complicaciones o fracasos8,11, o en lugares adyacentes cuando así lo requiere la nueva rehabilitación que se planifica cuidadosamente desde el punto de vista protésico. Una vez se han retirado los implantes o en casos de atrofia ósea moderada-severa los implantes cortos y extra-cortos son una alternativa segura para la rehabilitación de sectores posteriores maxilares y mandibulares, como alternativa a técnicas de aumento óseo más complejas, con cifras de supervivencia a largo plazo superior al 98% con una menor co-morbilidad asociada y una simplificación de las técnicas quirúrgicas27-31. Por lo tanto, la unión de todas las técnicas mínimamente invasivas a nuestros protocolos terapéuticos nos posibilita el tratamiento de casos cada vez con mayor complejidad, como el que hemos mostrado en este caso clínico. Estos procedimientos que implican menor número de cirugías y menor morbilidad para el paciente, son los preferidos por estos, además de simplificar las técnicas quirúrgicas para los provisionales sin sacrificar la predictibilidad del tratamiento23.
CONCLUSIONES
La periimplantitis es un problema muy presente en nuestros días. En ocasiones tenemos que realizar retratamientos implantológicos en pacientes que ya de base tienen una atrofia ósea severa agravada por la pérdida ósea que conlleva el progreso de la enfermedad periimplantaria. Poder disponer de las herramientas terapéuticas adecuadas tanto para la retirada de los implantes como para la rehabilitación posterior del paciente son clave en este tipo de casos.
BIBLIOGRAFÍA
1. Elani HW, Starr JR, Da Silva JD, Gallucci GO. Trends in Dental Implant Use in the U.S., 1999-2016, and Projections to 2026. J Dent Res. 2018 Dec;97(13):1424-30.
2. Block MS. Dental Implants: The Last 100 Years. J Oral Maxillofac Surg. 2018 Jan;76(1):11-26.
3. Buser D, Sennerby L, De Bruyn H. Modern implant dentistry based on osseointegration: 50 years of progress, current trends and open questions. Periodontol 2000. 2017 Feb;73(1):7-21.
4. Cooper LF, Thalji G, Al-Tarawneh S. Are Nongrafting Solutions Viable for Dental Implant Treatment in Limited Bone Volume? Compend Contin Educ Dent. 2020 Jul/ Aug;41(7):368-376; quiz 377.
5. Schwarz F, Derks J, Monje A, Wang HL. Peri-implantitis. J Clin Periodontol. 2018 Jun;45 Suppl 20:S246-S266.
6. Stoichkov B, Kirov D. Analysis of the causes of dental implant fracture: A retrospective clinical study. Quintessence Int. 2018;49(4):279-86.
7. Chen ST, Buser D, Sculean A, Belser UC. Complications and treatment errors in implant positioning in the aesthetic zone: Diagnosis and possible solutions. Periodontol 2000. 2023 Jun;92(1):220-34.
8. Anitua E, Orive G. A new approach for atraumatic implant explantation and immediate implant installation. Oral Surg Oral Med Oral Pathol Oral Radiol. 2012 Mar;113(3):e19-25.
9. Esposito M, Grusovin MG, Worthington HV. Treatment of peri-implantitis: what interventions are effective? A Cochrane systematic review. Eur J Oral Implantol. 2012;5 Suppl:S21-41.
10. Anitua E. Implante de 5,5 mm. Una solución para atrofias severas sin renunciar a la predictibilidad [5.5 mm implant. A solution for severe atrophies without sacrificing predictability]. Rev Cient Odontol (Lima). 2023 Dec 26;10(4):e137. Spanish.
11. Anitua E, Murias-Freijo A, Alkhraisat MH. Conservative Implant Removal for the Analysis of the Cause, Removal Torque, and Surface Treatment of Failed Nonmobile Dental Implants. J Oral Implantol. 2016 Feb;42(1):69-77.
12. Anitua E, Murias-Freijo A, Piñas L, Tejero R, Prado R, Orive G. Nontraumatic Implant Explantation: A Biomechanical and Biological Analysis in Sheep Tibia. J Oral Implantol. 2016 Feb;42(1):3-11.
13. Wang WC, Lagoudis M, Yeh CW, Paranhos KS. Management of peri-implantitis - A contemporary synopsis. Singapore Dent J. 2017 Dec;38:8-16. 14. Robertson K, Shahbazian T, MacLeod S. Treatment of peri-implantitis and the failing implant. Dent Clin North Am. 2015 Apr;59(2):329-43.
15. Khoury F, Keeve PL, Ramanauskaite A, Schwarz F, Koo KT, Sculean A, Romanos G. Surgical treatment of peri-implantitis - Consensus report of working group 4. Int Dent J. 2019 Sep;69 Suppl 2:18-22.
16. Figuero E, Graziani F, Sanz I, Herrera D, Sanz M. Management of peri-implant mucositis and peri-implantitis. Periodontol 2000. 2014 Oct;66(1):255-73.
17. Anitua E, Orive G. A new approach for atraumatic implant explantation and immediate implant installation. Oral Surg Oral Med Oral Pathol Oral Radiol. 2012 Mar;113(3):e19-25.
18. Anitua E, Alkhraisat MH, Tejero R. Immediate replacement of failed dental implants owing to periimplantitis. Journal of Oral Science and Rehabilitation 2015;1:8-14.
19. Roy M, Loutan L, Garavaglia G, Hashim D. Removal of osseointegrated dental implants: a systematic review of explantation techniques. Clin Oral Investig. 2020 Jan;24(1):47-60.
20. Anitua E, Anitua B, Alkhraisat MH, Piñas L, Torre A, Eguia A. Dental Implants Survival After Nasal Floor Elevation: A Systematic Review. J Oral Implantol. 2022 Dec 1;48(6):595-603.
21. Edelmayer M, Woletz K, Ulm C, Zechner W, Tepper G. Patient information on treatment alternatives for missing single teeth - Systematic review. Eur J Oral Implantol. 2016;9 Suppl 1:S45-57.
22. Gurgel BC, Pascoal AL, Souza BL, Dantas PM, Montenegro SC, Oliveira AG, Calderon Pdos S. Patient satisfaction concerning implant-supported prostheses: an observational study. Braz Oral Res. 2015;29.
23. Pommer B, Mailath-Pokorny G, Haas R, Busenlechner D, Fürhauser R, Watzek G. Patients’ preferences towards minimally invasive treatment alternatives for implant rehabilitation of edentulous jaws. Eur J Oral Implantol. 2014;7 Suppl 2:S91-109.
24. Esposito M, Cannizzaro G, Soardi E, Pistilli R, Piattelli M, Corvino V, Felice P. Posterior atrophic jaws rehabilitated with prostheses supported by 6 mm-long, 4 mm-wide implants or by longer implants in augmented bone. Preliminary results from a pilot randomised controlled trial. Eur J Oral Implantol. 2012;5:19-33.
25. Checchi L, Felice P, Antonini ES, Cosci F, Pellegrino G, Esposito M. Crestal sinus lift for implant rehabilitation: a randomised clinical trial comparing the Cosci and the Summers techniques. A preliminary report on complications and patient preference. Eur J Oral Implantol. 2010;3:221-32.
26. Felice P, Checchi V, Pistilli R, Scarano A, Pellegrino G, Esposito M. Bone augmentation versus 5-mm dental implants in posterior atrophic jaws. Four-month post-loading results from a randomised controlled clinical trial. Eur J Oral Implantol. 2009;2:267-81.
27. Zhou X, Hu XL, Li JH, Lin Y. Minimally Invasive Crestal Sinus Lift Technique and Simultaneous Implant Placement. Chin J Dent Res. 2017;20:211-18.
28. Mijiritsky E, Barbu H, Lorean A, Shohat I, Danza M, Levin L. Use of Implant-Derived Minimally Invasive Sinus Floor Elevation: A Multicenter Clinical Observational Study With 12- to 65-Month Follow-Up. J Oral Implantol. 2016;42:343-8.
29. Hof M, Tepper G, Semo B, Arnhart C, Watzek G, Pommer B. Patients’ perspectives on dental implant and bone graft surgery: questionnaire-based interview survey. Clin Oral Implants Res. 2014;25:42-5.
30. Schwartz SR. Short Implants: An Answer to a Challenging Dilemma? Dent Clin North Am. 2020;64:279-90.
31. Lozano-Carrascal N, Anglada-Bosqued A, Salomó-Coll O, Hernández-Alfaro F, Wang HL, Gargallo-Albiol J. Short implants (<8mm) versus longer implants (≥8mm) with lateral sinus floor augmentation in posterior atrophic maxilla: A meta-analysis of RCT`s in humans. Med Oral Patol Oral Cir Bucal. 2020;25:e168-e179.









